Mast Cell Stain
(Aldehyde fuchsin-OG6 staining method)

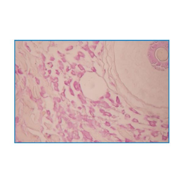
Intended for staining examination of histological mast cell.
Specifications
2x20ml

| Sign In | Join Free | My chinacsw.com |
|
Brand Name : BASO
Certification : CE IVDR Class A; ISO 13485:2016
MOQ : 1 Box
Price : Negotiated
Payment Terms : T/T
Packaging Details : Paper box
Delivery Time : To be confirmed
Supply Ability : To be confirmed

Intended for staining examination of histological mast cell.
Specifications
2x20ml

|
|
Mast Cell Stain (Aldehyde fuchsin-OG6 staining method) Images |